Chi Siamo
Il Centro di Radiologia Medica (CRM) S.r.l., convenzionato con il S.S.N. (Servizio Sanitario Nazionale), rappresenta oggi il “punto di riferimento” per tutte le Comunità Montane dell’entro-terra tra le provincie di Agrigento, Caltanissetta e Palermo, mettendo a disposizione del cittadino-utente e del medico una struttura diagnostica radiologica di alto livello.
Tecnologie
Il continuo rinnovamento tecnologico ci consente di venire incontro alle esigenze del medico di base e dello specialista e di offrire al paziente sempre piu’ servizi di qualità, riducendo l’esposizione ai raggi x ed aumentando il confort della prestazione, come dimostrato dalle nuove apparecchiature: cone-beam 3D per dentalscan ed ortopantomografie e nuova risonanza magnetica aperta per pazienti claustrofobici.
servizi
Densitometria
L’osteoporosi è una malattia sistemica dello scheletro caratterizzata dalla ridotta massa ossea dovuta alla perdita di calcio e altri minerali (fosforo, fluoro, magnesio) che conferiscono all’osso proprietà come durezza, rigidità e resistenza.L’osteoporosi definita...
Dentalscan
Il Cone-Beam 3D ci consente di eseguire Dentascan con dose ridotta rispetto alla classica esecuzione con TAC, ortopantomografie e cefalografie di alta qualità Dentalscan e Ortopantomografia di Alta Qualità ad Agrigento Il Centro di Radiologia Medica (CRM) S.r.l. ad...
Servizi domiciliari
Radiologia digitaleLa radiografia a domicilio è un esame radiografico che viene effettuato da tecnici specializzati presso l’abitazione del paziente che non può recarsi di persona in ambulatorio, grazie a tecnologie portatili di ultima generazione che permettono di...
Adozione sistema RIS e PACS
Visualizzazioni di immagini ad altissima definizione con refertazione in tempo reale (gestione urgenze) ed eventuale trasmissione di immagini e referto presso altre strutture (ospedaliere e non), con accesso da PC tramite password. Archiviazione di immagini e referti...
Risonanza magnetica nucleare
Il nostro Centro eroga i seguenti servizi di Risonanza magnetica nucleare (aperta): Muscolo tendinea (muscoli ed articolazioni compresa anca, spalla e ATM) Rachide (cervicale, dorsale, lombare) LA RISONANZA MAGNETICA NUCLEARE La RMN è una metodica di diagnostica per...
Radiologia digitale
Il nostro Centro eroga i seguenti servizi di radiologia digitale, convenzionati con il S.S.N: Radiologia diagnostica generale Radioscopia Radiologia contrastografica (apparato digerente, urografia, cistografia, isterosalpingografia) Stratigrafia Teleradiografia...
Ecografia
Il nostro Centro eroga i seguenti servizi di ecografia: Internistica Parti molli Muscolo-tendinea Neonatale – pediatrica Ostetrico-ginecologia Endocavitaria (transvaginale, transrettale) I servizi non sono convenzionati con il S.S.N L'ECOGRAFIA L’ecografia o...
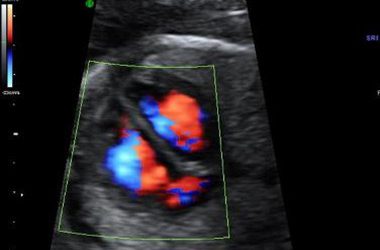
Ecocolordoppler
Il nostro Centro eroga i seguenti servizi di Ecocolordoppler: Arterioso (vasi epiaortici, celebrale, arti superiori ed inferiori) Venoso (arti superiori ed inferiori) Parenchimale (renale, epatico, mammario, pancreatico, splenico, testicolare) I servizi non sono...
Ecocardio
Il nostro Centro eroga i seguenti servizi di ecocardio: Fetale Neonatale – pediatrico Pediatrico Adulti I servizi non sono convenzionati con il S.S.N ECOCARDIO L’ecografia o ecotomografia è un sistema di indagine diagnostica medica che non utilizza radiazioni...
TAC Spirale
Il nostro Centro eroga i seguenti servizi di TAC Spirale convenzionati con il S.S.N: Encefalo, collo, torace, addome, colonna vertebrale, osteoarticolare Densitometra ossea Dentalscan LA TAC SPIRALE In medicina, con l’acronimo TC o TAC si indica una metodica di...
IL NOSTRO STAFF
Dott. Marcello Peritore
PERSONALE MEDICO
Radiologo e Direttore Sanitario del Centro
Dott.sa Vita Piazza
PERSONALE TECNICO
Amministratore Unico del Centro
Dott. Angelo Lauria Pantano
Personale tecnico
Rag. Domenico Mansella
Sig.ra Alessandra Catanzaro
Segreteria
Sig.ra Bunone Patrizia










